Лечение одонтогенного гнойного синусита врачом-оториноларингологом совместно с врачом-стоматологом
На приеме подросток 14 лет жаловался на заложенность носа, гнойные выделения и неприятный запах, которые не проходили после лечения антибиотиками по поводу гайморита.
Жалобы и анамнез
Пациент: мальчик, 14 лет.
Обратился с жалобами на затруднение носового дыхания справа, скудное слизисто-гнойное отделяемое из носа справа, ощущение неприятного запаха в носу в течение месяца. Из анамнеза известно, что месяц назад перенес острый тонзиллит (ангину), лечился антибактериальными препаратами. После купирования болей в горле появилась заложенность носа. Проводилась рентгенография околоносовых пазух, выявлен правосторонний гемисинусит. Пациент был госпитализирован в ЛОР-отделение, получал парентеральную антибактериальную терапию – препараты из группы цефалоспоринов и аминогликозидов, в комплексе с промыванием полости носа и пазух по Проетцу.
После выписки сохранялись жалобы на отделяемое из носа и неприятный запах. В дальнейшем получал лечение в условиях дневного стационара педиатрического отделения – антибактериальный препарат из группы защищенных пенициллинов; положительный эффект не был достигнут. На момент обращения пациент использовал назальный спрей с мометазоном, принимал растительный препарат для улучшения дренажа пазух.
Осмотр
При внешнем осмотре состояние пациента удовлетворительное. Температура тела нормальная. Лимфатические узлы шеи и заушной области не увеличены, безболезненны.
Отоскопия: ушные раковины обычной формы, наружные слуховые проходы широкие, свободные. Барабанные перепонки серые, контурированы.
Риноскопия: слизистая оболочка полости носа гиперемирована, отечна справа. Носовая перегородка по средней линии. Нижние носовые раковины отечны. В правом носовом ходе определяется скудное слизисто-гнойное отделяемое.
Фарингоскопия: слизистая глотки розовая, влажная. Миндалины не увеличены, без патологического содержимого. В области десны зуба 1.6 отмечается незначительная отечность, гиперемия слизистой оболочки, при пальпации слабая болезненность.
Обследование
Выполнена эндоскопия полости носа: визуализируется отечная и гиперемированная слизистая справа, наличие слизисто-гнойного отделяемого в правом носовом ходе. Глоточная миндалина не увеличена. Устья слуховых труб свободны.
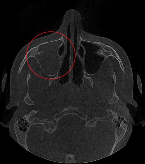
Проведена компьютерная томография околоносовых пазух, которая подтвердила наличие правостороннего гемисинусита (воспаление нескольких пазух с одной стороны), как следствие периодонтита зуба 1.6.
Представлено КЛКТ околоносовых пазух до начала лечения. Выделена зона воспаления пазух.



На снимке детально представлена область пораженного зуба 1.6.


Диагноз
01.8 – Другой острый синусит (острый правосторонний гемисинусит) – воспаление нескольких околоносовых пазух с одной стороны, протекающее в острой форме.
Лечение
Пациенту была назначена комплексная терапия, включающая:
- Противомикробный препарат из группы производное 5-нитроимидазола.
- Местный кортикостероидный спрей для уменьшения отека и воспаления слизистой носа.
- Муколитический препарат для улучшения оттока отделяемого из пазух.
- Нестероидный противовоспалительный препарат при болевом синдроме.
- Курс пункций правой верхнечелюстной пазухи с промыванием антисептическими растворами до чистых промывных вод.
- Пациенту рекомендована консультация стоматолога с целью санации очага инфекции со стороны полости рта (лечение периодонтита зуба 1.6).
- Рекомендовано динамическое наблюдение у оториноларинголога, контрольная эндоскопия и КТ околоносовых пазух после курса лечения. При отсутствии положительной динамики рассмотрена возможность хирургического лечения – эндоскопической гайморотомии справа.
Операционное лечение
Пациенту было проведено 5 пункций правой верхнечелюстной пазухи, при 5ой пункции промывные воды оказались чистые. Через несколько дней выполнен контроль КТ околоносовых пазух. Эндоскопически также отмечено улучшение: слизистая оболочка розовая, незначительно отечна справа, отделяемое из носа стало слизистым, присутствовало в скудном количестве. Пациенту продолжена местная терапия, даны рекомендации по повторному осмотру через 4 недели.
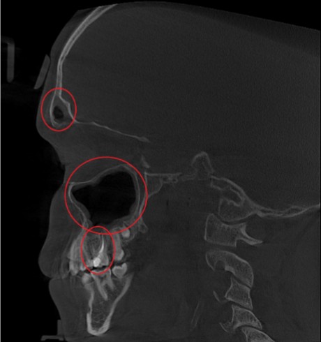
Ниже представлена контрольная КТ околоносовых пазух, выполненная после проведенного курса лечения. Результат совместной работы врача-оториноларинголога и врача-стоматолога.



Заключение
Данный клинический случай подтверждает, что КТ придаточных пазух носа является необходимым и наиболее современным методом диагностики при подозрении на воспалительные процессы в околоносовых пазухах носа. Компьютерная томография обеспечивает лучшую визуализацию в сравнении с рентгенографией, также позволяет оценить состояние зубов и определить одонтогенную природу синуситов. Зачастую односторонние воспалительные процессы околоносовых пазух возникают в результате воспаления зубов и периодонта. В данном клиническом случае подчеркивается необходимость назначения определенных групп противомикробных препаратов, что связано с развитием анаэробной флоры внутри пазух (антибактериальные препараты из группы пенициллинов, цефалоспоринов не работают против этой группы микроорганизмов). Подчеркивается необходимость проведения пункций верхнечелюстных пазух при одонтогенных синуситах, как основной метод санации пораженных синусов.